간 혈관종 (Hepatic Hemangioma)
코로나 시대에 건강검진을 하지 못하고 있다가 2022년 12월 만 4년 만에 건강검진을 하였습니다. 올해에는 건강검진 결과표를 여는데 많이 떨렸습니다. 40대 후반, 운동도 제대로 안 하고 건강을 챙기는데 소홀했었거든요. 아니나 다를까 이전 건강검진에서 안 보였던 몇 가지가 더 추가되어 마음을 쓸어 담았는데 그중에 하나가 상복부 초음파 검사상 간 내에 혈관종으로 의심되는 소견이 나왔습니다.
혈관종은 간에 생기는 양성 종양으로 크지 않은 경우에는 치료의 대상이 되지 않으나, 향후 크기 및 모양 상의 변화를 관찰하기 위해 6개월 후 초음파 검사를 통한 추적 관찰 바랍니다라는 부연 설명과 함께 말이지요. 난생 간 혈관종이라는 것이 무엇인지 듣도 보도 못한 저에게는 큰 충격이었는데요. 이번 시간을 통해 간 혈관종에 알아보고자 합니다

혈관종의 정의
혈관종은 비정상적인 혈관이 덩어리로 뭉쳐진 것을 의미하는 말로 발생 부위는 머리나 목 부위에 60% 정도 나타나며, 몸통에 25%, 팔다리가 15% 정도로 혈관종의 80%는 국소적, 단발성으로 발생합니다. 피부기관 외에도 혈관종은 간, 소화기계, 후두 (뒷머리), 뇌신경계, 췌장 (이자), 담낭 (쓸개주머니), 비장 (자라), 가슴샘, 허파, 림프샘, 방광 등에도 생길 수 있습니다.

간 혈관종 왜 생기는 걸까?
간 혈관종은 간에 발생하는 양성종양으로 그 원인은 밝혀지지 않았습니다. 남녀 발생 비율은 1:3 정도로 주로 여성에게서 발생 빈도가 다소 높고 30-50대에 많이 생깁니다. 임신을 하거나 에스트로겐 (여성 호르몬)을 투여하면 크기가 커질 수 있기에 혈관종의 발생과 성장이 여성호르몬과 관련이 있을 것이라는 추측이 있습니다. 하지만 이들의 직접적인 관계가 명확히 밝혀지지는 않았습니다.
증상: 난 느끼지 못했는데요.
간 혈관종은 대부분 증상이 없어서 모르고 지나가다가 건강검진의 초음파를 통해 우연히 발견하는 경우가 많습니다. 저처럼 말이지요. 혈관종이 많이 분포하거나 크기가 클수록 간혹 통증을 느낄 수 있다고 합니다. 지름이 4cm가 넘는 경우를 거대 혈관종이라 하는데, 바로 이 경우에 복부 불쾌감, 우상복부 통증, 메스꺼움, 구토 등의 증상이 있을 수 있습니다. 혹은 종양이 복부의 다른 장기를 밀고 누르면서 증상을 유발할 수도 있고요. 드물게 큰 혈관종이 터져 생명이 위태로울 수도 있습니다.
간 혈관종의 진단 및 치료
혈액검사: 간 혈관종을 가지고 있더라도 이상 소견이 나타나는 경우는 출혈이나 혈전 형성 등 합병증이 동반된 경우입니다. 보통의 경우에는 이상 소견이 잘 나타나지 않습니다.
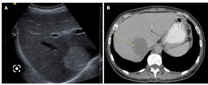
영상검사: 간단히 복부 초음파를 통해 덩어리를 발견하거나 이보다 더 정밀한 검사로 CT (컴퓨터 단층 촬영), MRI (자기 공영 명상), 99mTc-RBC scan (테크네슘-적혈구 스캔) 검사가 있습니다. 이런 방법으로 진단할 수 없는 경우에는 조직 검사나 혈관 조영술을 시행합니다. 의심 소견이 나올 경우에는 임상 추적 관찰이 매우 중요합니다.

간 혈관종, 치료할 수 있나요?
대부분의 간 혈관종은 치료가 필요하지 않으나 혈관종이 크고 복통, 복부팽만, 출혈 등의 증상이 있을 경우에는 치료를 해야 합니다. 방사선 치료나, 혈관을 막는 색전술이라는 치료, 수술 등 혈관종의 크기, 위치에 따라 다른 치료를 요구합니다.
간 혈관종, 암으로 가나요? (합병증)
다행히 간 혈관종은 양성종양으로 악성종양(암)으로 진행하지 않습니다. 하지만 혈관종이 터져 파열되면서 복강 출혈이 일어난 경우 응급 처치가 필요하고 간 혈관종의 출혈 가능성과 위치, 크기에 따라 수술을 해야 할 수 있습니다. 대부분의 경우에는 진행과정에 어떤 변화가 있는지 추적 검사를 꾸준히 진행하면 됩니다.
간암과의 감별을 위해 추적 관찰하거나 조직 검사하는 생검이 필요할 수는 있습니다. 특히 고 간암 발생 위험군인 만성 간염이나 간경변 등 환자, 간 외의 장기에 암이 있어 간 전이 위험이 있는 암 환자들은 간 혈관종 진단 시 각별한 주의가 필요합니다.
간 혈관종에 좋은 식습관
간 혈관종에는 과일이나 야채 위주의 식단, 몸에 에너지를 공급해 주는 탄수화물의 섭취를 권장하고, 간에 부담을 주는 단백질과 지방이 적은 식단을 해야 합니다. 가공식품, 술, 불은 육류, 단잔 음식 등을 절제해야 합니다.
특히 간 기능을 활성화해주는 비타민, 미네랄이 풍부한 쑥, 간의 채소라 불리는 간 기능 강화작용을 크게 하는 부추, 간암을 예방하는 양송이버섯, 풍부한 타우린으로 간의 해독작용을 돕는 바지락, 면역력의 최고 마늘, 간의 독 열을 다스리며 환경호르몬으로부터의 독성 해독 장용을 하는 결명자, 간세포 재생 및 간경화에 좋은 토마토, 알코올성 간 손상을 완화하고 간 기능을 높이는 칡 등을 섭취하면서 규칙적인 운동도 함께 하여 간의 건강을 증진시킵니다.

마지막으로 한번 더, 빵야~~
휴우,, 처음에 간 혈관종 의심 소견을 받았을 때 무슨 죽을병이라도 걸린 것처럼 떨리고 무서웠었는데, 대부분 문제가 되지 않아 별다른 치료 없이 경과 관찰만 잘 하면 된다는 사실에 한시름 놓아 봅니다. 하지만, 간 혈관종이 자라는 속도가 빠르거나 이미 크기가 상당해 복통의 증상 및 파열 등의 합병증 발생 위험이 높을 경우에는 각종 시술 등을 고려해 볼 수 있습니다.
건강검진 결과표의 소견에 따라 6개월 후 어떻게 변했는지 다시 한번 초음파나 CT를 통해 알아보려고 합니다. 크기가 더 이상 커지지 않기 바라면서, 오늘 하루도 파이팅!
댓글